Scientists have produced human embryonic stem cells (ESCs) using the same cloning technology (somatic cell nuclear transfer (SCNT)) that created Dolly the sheep and the many cloned animals that have followed. The study was carried out by researchers from Oregon Health and Science University (OHSU) and Boston University School of medicine in the US, as well as Mahidol University in Thailand. The paper published online by the journal Cell on 15 May. This is the first time the technique has been successful generating human cells.
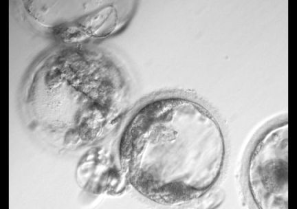
These are the main steps of SCNT which transfer genetic material from adult skin cells into egg cells. SCNT involved preparing nucleus from a person’s skin cells and the egg cells from women that had its nucleus removed. Then insert the skin cells into an unfertilized egg cell to fuse the donor egg cells with human skin cells. Scientists using chemical compounds and electricity to induce the egg cells to behave in a similar way as normal fertilized eggs: continue to divide into other cell types which could be used for specific tissues needed. When the division yield reached 150 cells—stage called blastocyst—we could harvest the embryonic stem cells. These cells were able to develop into other types of cells and, successfully, there were no genetic material from the donor egg cell nucleus.

Source: Oregon Health & Science Center, Cell Frank Pompa, USA TODAY
As the we could generate embryonic stem cells which have the ability to develop into several different types of cells using adult skin cells, there emerge more possibilities and opportunities in medical areas. A new way to repair the damaged tissue , replacing the patient’s own generating tissue, would be put into practice in a near future. In theory, this should prevent the body from rejecting the cells. However, to translate this technology to regenerative medicine or other medical therapies still has a long way to go.
Cloned human embryo cells. (Photo: OHSU Photos)
Remain ethical concerns should be taken into account. Even though there was no intention of producing a live cloned human being in this research, we can’t guarantee there won’t be any in the future. Considering the fact that Dolly the sheep was abnormal and died early, there would be a strong possibility that the human stem cells might not be normal either. If the technology matured in the future, the only problem would be the shortage of eggs. That might arouse risks of creating an organ trade. In this experiment, the egg donor received US$3, 000–7,000 in compensation.
Riva Gao u5155876

